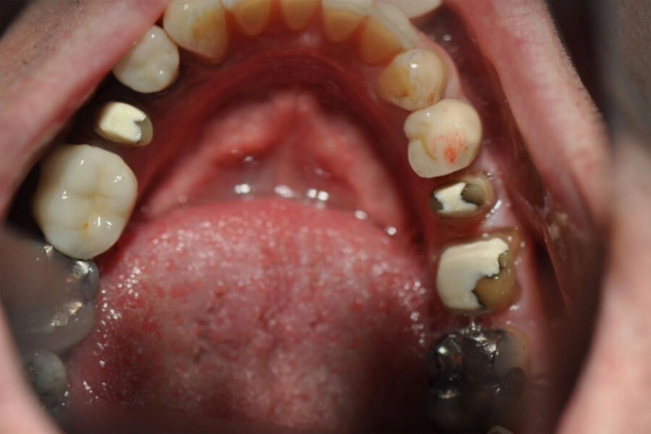
Хакеры украли фото зубов главы «Моссада» с его взломанного телефона
Хакеры из группы «Open Hands», деятельность которой связывают с правительством Ирана, заявили о взломе смартфона главы израильской разведки «Моссада» Давида Барнеа. В подтверждение своих слов злоумышленники опубликовали фото якобы зубов Барнеа, украденных с его смартфона. Об этом сообщает РБК.
На опубликованных снимках видны зубы с коронками, пломбами и кариесом. Предполагается, что фотографии были сделаны во время визита главы «Моссада» к стоматологу.
Отмечается, что «Open Hands» не первый раз выставляют Барнеа в плохом свете. Ранее эти же хакеры опубликовали другие фото и видео личного характера, принадлежащие главе разведки Израиля. Помимо прочего они содержали изображения родственников Барнеа, его авиабилетов и дома.
В администрации премьер-министра Израиля не стали отрицать принадлежность снимков зубов к Барнеа, однако там отметили, что они были сделаны давно. Также там опровергли заявление хакеров о взломе смартфона главы «Моссада».
Хакеры украли фото зубов главы «Моссада» с его взломанного телефона
Хакеры из группы «Open Hands», деятельность которой связывают с правительством Ирана, заявили о взломе смартфона главы израильской разведки «Моссада» Давида Барнеа. В подтверждение своих слов злоумышленники опубликовали фото якобы зубов Барнеа, украденных с его смартфона. Об этом сообщает РБК.
На опубликованных снимках видны зубы с коронками, пломбами и кариесом. Предполагается, что фотографии были сделаны во время визита главы «Моссада» к стоматологу.
Отмечается, что «Open Hands» не первый раз выставляют Барнеа в плохом свете. Ранее эти же хакеры опубликовали другие фото и видео личного характера, принадлежащие главе разведки Израиля. Помимо прочего они содержали изображения родственников Барнеа, его авиабилетов и дома.
В администрации премьер-министра Израиля не стали отрицать принадлежность снимков зубов к Барнеа, однако там отметили, что они были сделаны давно. Также там опровергли заявление хакеров о взломе смартфона главы «Моссада».